核医学主要依靠标记有放射性的药物进行疾病的诊断和治疗,尤其在肿瘤方面有较为突出的优势。91制片
附属医院作为一家以肿瘤诊疗为特色的研究型综合性医院,核医学诊疗中心充分发挥放射性药品使用四类证的优势,常规开展靶向前列腺癌的特异性分子探针PSMAPET/CT检查,指导前列腺癌患者的精准诊疗,为他们早日接受治疗争取了时间。

核素影像靶向定位更精准,让前列腺癌患者少走弯路
一名69岁的男性患者因常规体检发现血PSA明显升高后,辗转多家医疗机构,复查两次血PSA、一次盆腔MR平扫+增强,两次前列腺穿刺活检,均被确诊为前列腺结节性增生。
既无肉眼血尿,又无排尿异常,更没有腰酸背痛,但多次血PSA结果异常。患者遂来到91制片
附属医院核医学诊疗中心接受了68Ga-PSMA-PET/CT检查,结果显示前列腺的确存在良性增生,在结合PET/CT核素影像诊断进行靶向穿刺精准定位后,最终确诊为前列腺腺癌。

前列腺一旦发生癌变就会特异性表达前列腺特异性膜抗原(PSMA),其作为近年来国际上最新的靶向前列腺癌的分子靶点,68Ga-PSMA PET/CT对于前列腺癌的检测在敏感性、特异性、阳性检出率上均高于传统检查手段,对原发灶和转移灶检出率可达到95%,对前列腺癌精准地早期发现、早期诊断,让患者少走弯路。
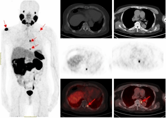
识别度及敏感性更高,更早一步发现前列腺癌转移灶
PSMA-PET/CT利用靶向核素分子影像优势,可识别最大直径为4毫米甚至更小的转移淋巴结,68Ga标记的PSMA-PET/CT诊断骨转移灶敏感性更高,能比传统检查手段早一步发现转移灶,为患者的精准治疗赢得时间。
一名75的岁男性患者自2019年确诊前列腺癌后,先后接受过两次内分泌治疗及前列腺癌根治术的综合治疗。在术后两年的复查中发现血PSA持续升高,CT检查和全身骨显像检查均未发现明显异常,医生建议随诊,患者来到91制片
附属医院要求进一步检查。经核医学科68Ga-PSMA PET/CT检查后结果显示,双侧肩胛骨、左侧第9后肋、第2腰椎及纵隔淋巴结均已存在癌症转移。

据无锡疾控2023年4月17日发布的最新数据显示,前列腺癌位列男性发病癌种第四位。新诊断的前列腺癌患者中,有一部分在诊断时已发生远处转移,建议有条件的患者做这项检查,特别是中高危的前列腺癌患者。
91制片
附属医院核医学科简介
核医学检查属于功能影像,对恶性肿瘤、心脑血管疾病和脑功能疾病的早期诊断更加精准,在原发肿瘤的查找、转移瘤的发现、肿瘤良恶性的鉴别等方面,是临床医生不可或缺的“最佳助手”。

91制片
附属医院核医学科是江苏省临床重点科室、无锡市发展学科、无锡市核医学诊疗中心、上海市分子影像学临床转化中心、国家药品临床试验基地等。学科带头人郁春景主任是江苏省医学会核医学分会候任主委、江苏省医师协会核医学医师分会副会长、无锡市医学会核医学专委会副主任委员。
科室医疗团队由医师、核医学物理师、核医学化学师、核医学技师、检验技师及护理人员等24名医护人员组成的,常规开展PET/CT、SPECT/CT显像;拥有6间标准核素治疗病房,常规开展甲亢、分化型甲状腺癌的131治疗,碘125粒子肿瘤植入治疗,恶性肿瘤骨转移的89锶同位素治疗,并在2021年开展了32P疤痕敷贴治疗,目前正积极筹备开展钇90树脂微球治疗肝脏恶性病变。